肿瘤缩小50%,反应率高达33%,新药组合直击"胶质母细胞瘤",只针对这一个突变!
小编 2021-12-09
达拉非尼联合曲美替尼治疗BRAF V600E突变的胶质母细胞瘤肿瘤缩小50%,反应率高达33%,胶质母细胞瘤新疗法、新技术、新进展还有哪些
作为最常见的恶性脑肿瘤,脑胶质瘤恶性程度高、生长快、病程短、术后易复发且高致残,被认为是神经外科治疗中最棘手的难治性肿瘤之一。近年来,脑胶质瘤的发病率以每年1%~2%的速度递增,多见于十几岁的青少年和40岁以上人群。
其中,胶质母细胞瘤(GBM)是脑胶质瘤中恶性程度最高的,占所有胶质瘤的一半和所有原发性脑肿瘤的15%。即便手术切除很干净,到肿瘤复发时间的平均时间仅为6.9个月,中位生存期仅为14.6个月,5年生存率只有4.7%,尚不及肺癌5年生存率的1/3,预后极差。
脑胶质瘤治疗难度大,可用药物极少。自2005年化疗药物替莫唑胺(TMZ)上市和2009年FDA批准贝伐珠单抗用于复发胶质母细胞瘤患者后,再无其他疗法问世。近年来科学家们一直在进行神经胶质瘤治疗方面的研究,但是很可惜的是,至今没有重大进展。
肿瘤缩小50%,3名患者完全缓解,新组合直击"脑癌"
近期,个别报道称达拉非尼和曲美替尼的组合在神经胶质瘤中显示出活性,尽管这些药物只帮助肿瘤携带罕见 V600E 突变的患者。
根据 Dana-Farber 癌症研究所研究人员的临床试验报告,达拉非尼和曲美替尼两种靶向抗癌药物的组合对携带罕见基因突变的高度恶性脑肿瘤患者显示出前所未有的“临床意义”活性。
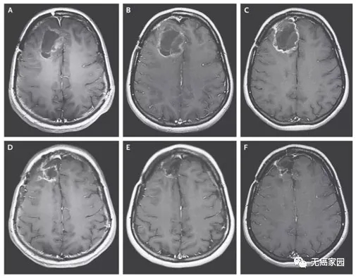
该药物组合阻断了过度活跃的细胞生长信号通路,在 45 名患有难以治疗的高级别胶质瘤(包括最具侵袭性的脑肿瘤胶质母细胞瘤)的患者中,三分之一的患者的肿瘤缩小了 50% 或更多。
3 名患者完全缓解,他们的肿瘤在影像扫描中不再可见。12 名患者的肿瘤部分缩小,患者并未治愈,但对药物有反应的患者获得了显着的持久益处。根据一项评估,反应的中位持续时间为 13.6 个月,另一项评估为 36.9 个月。
目前所有针对胶质母细胞瘤的化学疗法的反应率都不会超过 5%,这与组合实现的 33% 的反应率形成鲜明对比。在 40 岁以下的患者中,反应率甚至更高,约为 40%。这是第一次在临床试验中证明靶向药物对胶质母细胞瘤有效,不得不说是个意外!
该研究结果来自一项名为 ROAR(罕见肿瘤不可知研究)的正在进行的第二阶段研究。旨在确定达拉非尼联合曲美替尼在 BRAF V600E 突变癌症患者中的总体反应率。BRAF 蛋白是一种生长信号蛋白激酶,在调节 MAPK 信号通路中起作用。BRAF V600E 突变通过激活由许多蛋白质组成的 MAPK 通路来驱动癌症,导致不受控制的细胞生长和肿瘤的发展。
本研究中使用的药物达拉非尼和曲美替尼是口服药物,可阻断部分过度活跃的 MAPK 信号通路。Dabrafenib 抑制 B-Raf 酶,trametinib 抑制 MEK1 和 MEK2 分子,它们是 MAPK 通路的一部分,已被联合用于治疗黑色素瘤、非小细胞肺癌和甲状腺癌。
这是第一次将 BRAF 抑制剂(dabrafenib)和 MEK 抑制剂(曲美替尼)的组合在这些难以治疗的神经胶质瘤中显示出显着的活性,包括历来对治疗表现出耐药性的胶质母细胞瘤。尽管这些药物只帮助肿瘤携带罕见 V600E 突变的患者,但是对于之前胶质母细胞瘤没有靶向疗法的患者来说,无疑是一个新的希望和选择。
这项研究的帕特里克文博士表示,目前,也有新的证据表明胶质瘤中可能还有其他目标可以被设计药物阻断。我们期待研究的最新进展,给胶质母细胞瘤患者带来新的治疗手段和新的生存希望。
目前市面上治疗胶质母细胞瘤的除了获批的药物,还有已经获批的电场疗法、质子治疗、CAR-T,溶瘤病毒、树突疫苗、国内也有临床试验项目可以参加。若想了解更多关于胶质母细胞瘤的临床前沿信息及国内外知名专家的会诊请联系全球肿瘤医生网医学部。
胶质母细胞瘤的前沿进展
树突疫苗进军胶质母细胞瘤,12个月OS率达72%
根据一项2期试验(NCT03400917)的数据,AV-GBM-1是一种个性化的癌症疫苗,在新诊断出的胶质母细胞瘤患者中改善了无进展生存期(PFS)。
2020 SITC届年会期间呈现的结果显示,此款疫苗使69%的患者达到7个月的无进展生存,优于历史记录(50%)。疫苗的中位无进展生存期为10.0个月,在具有里程碑意义的研究中,标准治疗达到6.9个月。这意味着在6.9个月的治疗中,进展或死亡的风险降低了38%。
此外,AV-GBM-1在12个月时的总生存率(OS)为72%,与历史记录的61%相比也令人满意。
溶瘤病毒新突破!凶险脑癌3年生存期翻了5倍!
这种疗法主要是科学家们将经过改造的病毒注射到人体内,以激活T细胞为主导的免疫反应,从而杀死癌细胞。而这正是攻破胶质母细胞瘤的关键所在。
2018年6月26日,一篇发表在顶尖医学杂志上的《NEJM》上的研究引起广泛关注,美国杜克大学癌症研究所的科学家们,采用一种经过改造的脊髓灰质炎病毒(PVSRIPO),显著延长了脑胶质母细胞瘤患者的生命。
试验结果:
治疗组的中位生存期为12.5个月,与11.3个月的历史数据相差无几;
在2年这个节点,治疗组的生存率为21%,比历史数据(14%)高出50%;
在3年这个节点,治疗组的生存率同样为21%,而历史数据仅为4%。这意味,经过病毒的治疗后,3年生存率猛增5倍。
截止2018年3月20日,8名患者对治疗产生治疗应答,2名患者的脑胶质瘤病灶完全消失,达到了完全缓解!要想了解更多关于溶瘤病毒的国内外临床研究请咨询全球肿瘤医生网医学部。
新型EGFRvIII特异性CAR-T细胞可有效清除人类胶质母细胞瘤
2019年下半年发表于《自然》子刊《Nature Biotechnology》上的一篇论文中,来自哈佛医学院麻省总医院的科学家们展示了一项抗击大脑恶性肿瘤的研究结果。他们结合CAR-Ts和BiTEs两种抗癌新技术,对胶质母细胞瘤展开有效攻击。利用可产生双特异性抗体的新型CAR-T细胞进行治疗,在80%的小鼠中,脑内的肿瘤完全消失!
质子治疗的射线"有进无出",最大限度保护肿瘤周围组织
质子疗法是一种强大、安全的替代疗法,它可以使更多的儿童受益于放射治疗。质子作为带正电核的粒子,以极高的速度进入人体,由于其速度快,故在体内与正常组织或细胞发生作用的机会极低,当到达癌细胞的特定部位时,速度突然降低并停止,释放最大能量(产生Bragg峰),将癌细胞杀死。
通过质子放射治疗,可以更精确地确定射束的宽度和深度,以确保最大程度地暴露于肿瘤,同时对健康组织的损害最小。特别是对于儿童肿瘤,减少副作用的损伤很重要。
首先,较少的辐射暴露意味着孩子在以后的生活中不太可能患上新的癌症,这也意味着医生更有可能保护孩子大脑的其他敏感部位。因为一旦受损,整个身体的调节中枢都会受到影响,可能会导致视力障碍、听力损失或其他并发症。
不仅是成人脑瘤患者,还有儿童脑瘤患者,特别是不能手术的脑瘤患者,如需要质子治疗评估及会诊,可致电全球肿瘤医生网医学部预约。
5年总生存率翻2倍多,电场疗法在中国震撼登场
美国FDA在2015年批准了一种电子帽Optune,用于治疗新诊断胶质母细胞瘤的治疗。
通常使用头盔式服装覆盖整个头颅来预防肿瘤扩散至脑的更多区域,并根据肿瘤的位置和大小来调整服装,最终有效的清除肿瘤。Optune电子帽原理是利用癌细胞特殊的电学性质来使用电场干扰其分裂最终导致癌细胞死亡,可以在保证健康细胞基本不受伤害的同时杀死癌细胞。
中文名:电场疗法
英文名称:tumor treating fields,简称TTFields,
商品名:optune
中文名:爱普盾
FDA获批适应症:复发性胶质母细胞瘤、新诊断的胶质母细胞瘤、晚期恶性间皮瘤(MPM)
上市国家:美国、日本、中国(内地、香港)
在癌症的治疗方面,美国的技术向来是早于中国的,靶向药物的上市也早中国好几年,对于如果想了解国外的治疗技术,或者想听听国外专家对自己病情的诊断和意见,也可以通过联系全球肿瘤医生网医学部。
全球会诊中心是全球肿瘤医生网为癌症患者建立的远程专家咨询平台,与全球三十余家顶尖癌症中心建立战略合作关系,患者可通过会诊中心,在全球范围内选择最专业的医院,最顶尖的医生。让大牌专家为您量身定制最佳诊疗方案!。
脑瘤会诊专家推荐
Patrick Y. Wen, MD
哈佛医学院附属丹娜法伯癌症研究院
哈佛医学院附属布列根和妇女医院主治医师
哈佛医学院神经内科教授
美国神经肿瘤学会主席,对于神经系统肿瘤的治疗首屈一指。
擅长:利用基因疗法,血管生成抑制剂,激素疗法和放射性核素,开发脑肿瘤和软脑膜转秱瘤的新疗法。
Patrick Y. Wen 博士于 1981 年毕业于伦敦大学圣巴塞洛缪医院医学院。他在伦敦大学研究生医院完成了内科医学培训,并在哈佛 朗伍德神经病学培训项目中完成了神经病学住院医师培训。Patrick Y Wen 医学博士是国家癌症研究所支持的成人脑肿瘤联盟的共同项目负责人,并且是神经肿瘤学(RANO)工作组响应评估指导委员会的成员。
他的研究重点是脑肿瘤的新型治疗方法,特别是靶向分子药物。他的其他临床兴趣包括癌症的神经系统并发症。Wen 博士撰写了数百篇同行评审文章,这些文章发表在神经病学,神经肿瘤学,神经病学现状和临床肿瘤学期刊等期刊上。他担任神经肿瘤学会主席和神经肿瘤学 SNO 执行编辑。
