前列腺癌质子治疗,质子治疗是前列腺癌放疗的首选治疗方式
全球肿瘤医生网 2020-04-09
前列腺癌质子治疗,质子治疗是前列腺癌放疗的首选治疗方式
近日,美国制药公司辉瑞和安斯泰来宣布,FDA已批准恩杂鲁胺(enzalutamide,Xtandi)用于治疗男性非转移性去势抵抗性前列腺癌(CRPC)补充性新药申请的优先审查。2012年,enzalutamide曾被批准作为多西紫杉醇治疗后转移性CRPC的男性的治疗药物。FDA将于今年7月之前对此申请做出批复,这对前列腺癌患者来说无疑是一个天大的喜讯!
前列腺癌是男性第二大常见癌症,治疗局限性大
在全球范围内,前列腺癌发病率位居男性癌症发病率第二名,但死亡率还没有那么高。据统计,早期前列腺癌的五年生存率达95%以上。临床上常用的治疗方法有根治性前列腺切除术、放疗、主动监测及药物治疗等。但是,这些治疗手段都有一定的局限性及危害。例如,根治性前列腺切除术对于男性患者性生活有很大的影响;放疗虽然能降低性功能障碍的发生率,但是会引起放射性皮肤炎症、胃肠道反应及泌尿系统副作用;主动监测仅限于低位前列腺癌患者及预期寿命非常短的患者。这些治疗方法虽然帮助患者免于死亡的威胁,但是,往往因为这些治疗,前列腺癌患者的生活质量极度下降,经常遭受副作用的困扰。那么,有没有一种方法能更好的提高前列腺癌患者的生活质量呢?
质子治疗打破现状,还前列腺癌患者正常生活
这种放疗技术您可能还没有了解过,能够避免上述疗法的全部危害,集所有优势于一身,既能降低患者性功能障碍的风险又几乎没有任何副作用,对任何时期的前列腺癌患者都适用,这就是名闻天下的质子治疗。
质子是氢原子失去一个电子的粒子,质子治疗是将失掉电子的氢原子原子核,利用回旋加速器或者同步加速器加速到光速约70%,以这种极快的速度穿透到人体内部,到达癌细胞所在的特定部位,速度突然降低并停止,在射程终点处形成一个尖锐的剂量峰,叫做布拉格峰,释放出最大能量,将癌细胞杀死。质子治疗能够同时有效地保护周围正常组织,且副作用小。比如前列腺周边有膀胱、直肠及泌尿系统,质子治疗依然能在有效治疗肿瘤的同时保护这些重要器官或结构的功能,治疗不会带来任何影响,这在常规放射治疗中是不可能的。
质子治疗方便快捷患者不用住院
质子治疗时间可以短至五分钟,但机器和激光束的设置时间约需30分钟。每天一次,每周五天,通常一个疗程要进行15-40次。质子治疗对于肿瘤的即刻治疗获益可能还不是很明显,但是在若干年之后就会优势凸显,尤其是对于年轻患者而言,因为质子治疗的副作用很小,不会对身体带来任何损害。
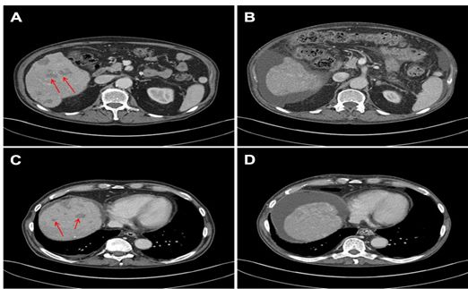
28岁前列腺癌患者质子治疗成功案例分享
一名男性被诊断为前列腺癌,医生建议根治性手术切除。但由于还很年轻,患者十分抗拒手术治疗,所以咨询是否还有其他治疗方式,最后患者通过全球肿瘤医生网这个全国质子治疗会诊平台了解到质子治疗前列腺癌效果很好,副作用很小,不会对以后的生活造成影响。于是,在全球肿瘤医生网的全程协助下,28岁的年轻小伙子接受了,质子近两个月治疗。现在,患者已经治疗完成,回到了正常的工作岗位上,每3个月复查一次,现已经过去一年多了,患者病情控制良好,没有进展。患者已经交了女朋友,正在准备结婚的事情。
质子治疗前(A、C)和治疗后(B、D)
质子治疗适合哪些患者
质子治疗的应用范围非常广,除了前列腺癌,质子治疗几乎涵盖身体所有实体瘤(如下图),如肺癌、脑癌、卵巢癌,等等。对于不能手术的患者,不耐受化疗和放疗的患者,没有其他治疗选择患者,质子治疗给很多实体瘤患者带来了希望,由于其他治疗的副作用,质子治疗将会备受关注,我们共同期待质子治疗在癌症领域大放异彩。
患者如何进行质子治疗
全球肿瘤医生网与全球知名的质子中心联手,打造国内权威的质子治疗评估会诊中心,可为患者联系全球范围内最适合的质子治疗,协助患者评估及就医。美国、德国、日本、中国台湾及大陆都有权威的质子治疗中心,可以根据自身需求自行选择!但是,无论去哪里进行质子治疗都需要提交病历资料进行评估,不方便进行面诊的患者可以进行远程专家会诊来评估是否符合治疗要求。
全球肿瘤医生网质子会诊中心,特聘国内外质子专家为患者提供远程会诊和评估,例如日本质子第一人秋原哲夫、美国质子专家X. Ronald Zhu、以及国内质子专家髙献书,患者可以通过全球肿瘤医生网咨询质子,并与专家进行交流。
如需要质子治疗评估及会诊,可致电全球肿瘤医生网医学部预约。
