儿童脑瘤电场治疗,美国电场疗法初现曙光,电场治疗价格、费用、多少钱
全球肿瘤医生网 2020-04-29
儿童脑瘤电场治疗,美国电场疗法初现曙光,电场治疗价格、费用、多少钱
高级别的胶质母细胞瘤在年轻的患者中是少见的,间变性星形细胞瘤和胶质母细胞瘤的发病率分别为0.08和0.14/100000人,但是,它们的预后是毁灭性的,特别是涉及脑干,患者很少能长期生存。
高级别的胶质瘤患儿因为治疗选择少儿有着更差的预后,70~90的患儿在两年内死亡。早期病灶近全切除被认为能够延长无进展生存期,3岁以上的儿童局部放射治疗是主要措施,目前没有公认的关于儿童高级别胶质瘤的化疗标准。
治疗方案都是基于成人患者,首选方案为全切除,接着局部照射,联合化疗和辅助化疗的方案为替莫唑胺。针对复发,只有贝伐单抗和电场治疗是被美国FDA批准用于成人脑胶质瘤的。
因此,大量的成人患者积极地参与FDA批准的疗法的临床试验。
报告者:
加利福尼亚大学神经病学医学中心
摘要
我们报告了第一例胶质母细胞瘤的儿童患者(WHO分级:Ⅳ级,星形细胞瘤)成功的接受了电场疗法。
患者在13岁时被诊断为胶质母细胞瘤,在进行手术切除之后,进行了放疗和化疗,但是病情还是进展了。通过MRI 进行了6个月的观察我们可以观察到离散的肿瘤生长,随后,我们开始使用电场疗法进行临床及影像监测7个月,病情稳定。电场疗法起到了预防胶质母细胞瘤复发和抑制其生长的作用,并且在七个月的治疗期间,对13岁的女孩无重大不利影响。我们认为,电场疗法在胶质母细胞瘤的治疗中有潜在价值。
脑瘤诊断
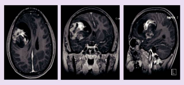
这个13岁的女孩因逐渐恶化的头痛就诊,最初被认为是感冒或过敏。她和父母生活在一起生活,正在读初中,从不抽烟喝酒,母亲家族中有高发结肠癌家族史。在头痛发作一个月后,她的初级保健医生建议她做进一步神经学检查,图像上看,右侧幕上显示肿瘤存在,MRI发现,两侧区域都出现对比度增强和囊性坏死。她在当地的儿童医院进行了第一次手术切除。
手术组织在梅奥诊所和约翰霍普金斯癌症研究中心实验室的病理诊断为:星形细胞瘤Ⅳ级IDH1缺失(胶质母细胞瘤)。
脑瘤治疗
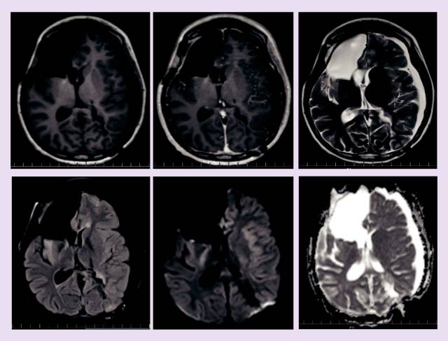
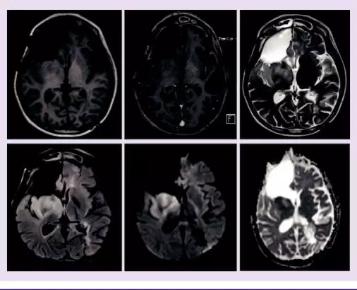
患者手术后开始进行放疗联合替莫唑胺及铂类化疗治疗,在初步诊断后的20个月时,肿瘤复发,出现两个新病灶。随后,她接受了第二诊疗意见(会诊),会诊为她制定了贝伐单抗联合电场治疗的方案。在她手术后的5周,开始接受每两周10 mg/kg贝伐单抗治疗,在使用贝伐单抗六周后,患者开始接受电场治疗。这期间,贝伐单抗持续联合电场治疗,直到病情进展。(13个月)
脑瘤电场治疗结果
由于她的病史,她需要每个月接受一次评估和神经系统检查,实验室检查和MRI。治疗过程中的副作用非常小,仅为轻微的头皮刺激和皮肤症状,使用非处方药氢化可的松治疗后缓解。她恢复到正常的生活中。在进行电场治疗的6~7个月,病情稳定。7个月后,MRI显示病情进展,患者停止接受电场治疗,继续贝伐单抗的治疗,并做了美国Foundation medicine基因检测公司的全基因组测序。基于检测结果显示ROS1突变,她开始使用克唑替尼治疗。
电场治疗评价
电场治疗用于儿童胶质瘤患者目前没有正在进行的临床试验,但是作为新的治疗建议,有潜在的治疗价值,期待进一步的研究结果。
电场疗法原理
电场疗法是一种全新的治疗实体肿瘤的技术,这种技术会消灭肿瘤细胞,同时对健康细胞没有任何副作用,被称为TTFields(tumor treating fields)。
2011年,美国FDA批准电场疗法治疗复发脑胶质瘤。
2015年,美国FDA批准电场治疗初诊脑胶质瘤。
目前,电场疗法不断在各类实体瘤中开展临床试验,其中非小细胞肺癌、胰腺癌、卵巢癌均取得了一定的临床效果。
关于电场治疗价格
患者面临一个大问题是成本 - 大约每天700美元。
Novocure的首席执行官Bill Doyle说,价格是正常市场反应,“这是非常复杂的医疗器械,使用数量非常少”,一次性部件每周更换数次,每位患者都有支持人员,加上17年的实验室,动物和人体测试。研究成本高达五亿美元。
目前,这项最新的抗癌技术还未在国内开展,仅在美国、日本、以色列开展,相对于美国来说,日本的电场治疗费用较低,在10万元人民币左右,并且可以定制带回国内治疗,详情致电400-666-7998或登录全球肿瘤医生网。
