脑瘤质子治疗治愈案例
全球肿瘤医生网 2020-05-07
脑瘤质子治疗治愈案例
前段时间,冯导的电影《芳华》刚刚落幕,获得了了众多影迷的大力支持,电影讲述的是在军队文工团,一群正值芳华的青春少年,经历着成长中的爱情萌发与充斥变数的人生命运,无论将来如何他们都能主动掌握自己的人生。而有现实生活中有这样一个正处于大好年华的女孩子却因为被诊断出髓母细胞瘤(脑瘤的一种),她的命运即将被改写。但是,由于质子治疗的功劳,丽丽居然又回归到了正常的生活中,没有受到任何影响。事情的经过是这样的。
15岁女孩不明原因头痛入院就诊
15岁的丽丽(化名)正就读于一所省级重点中学,她是班里的尖子生,每次考试成绩都是全校前三名,是被学校列入重点培养对象,是要被送入清华北大的好苗子!
可是,从进入高一期丽丽就经常出现间断性头痛,不知道是什么原因,偶尔还会有行走不稳,摔跟头的现象。起初她没有在意,以为是晚上学习太晚,没有休息好,过段时间可能就好了。但是,迟迟不见好转。父母带她到当地医院进行了颅脑CT,结果也未没有发现明显异常。于是,丽丽回到学校照常上课。
过了半年,丽丽这些症状依旧没有减轻反而逐渐加重了,且双下肢经常无力。又到当地医院进行颅脑核磁共振检查发现:颅内多发占位,又进行了头颈胸腰椎MR提示:颅内多发占位,颈胸腰段椎管内外多发占位,考虑神经纤维瘤病,怀疑是恶性肿瘤,医生建议马上手术。天大的噩耗袭来,丽丽知道后伤心至极,如此幼小的心灵承受不了如此大的打击,一度想要自杀求死。在老师及家长的开导下,丽丽情绪缓和了很多,愿意离开深爱的课堂,积极接受治疗。
女孩不幸罹患脑瘤手术很顺利
丽丽在全麻下进行了“中颅窝巨大占位病变切除+颅内减压+颅底成形+窦修补术”,手术进行的很顺利,很快丽丽就醒了过来,住院期间丽丽积极配合医生及父母的诊治和护理,状态恢复很好,住院期间丽丽还不忘学校的学习任务,丽丽把书本搬进了病房,为了进入清华北大的理想自学了起来。
可是,不幸的是样本病理检查提示:中颅窝脑底组织胚胎性肿瘤,结合肿瘤组织学形态、免疫表型及病史,符合髓母细胞瘤。免疫组化结果:肿瘤细胞Syn(+)、CgA(+)、Oligo2(-)、GFAP(-)、CD99(-)、Des(-)、SALL-4(-)、LCA(-)、P53(-),ATRX(+)、β-C(-)、C-MYC(-)、GAB-1(+)、Ki67阳性率约40%,Foot染色:示网织纤维存在。综上,丽丽诊断为为髓母细胞瘤。医生说手术后也没有天下太平,还要进行放射治疗巩固,因为手术不可能把所有的肿瘤都切除。但放疗1次后因反应太大而承受不了,因此丽丽及家属拒绝继续放疗。
因年纪太小承受不了放疗副作用而选择质子治疗
经历过一次死亡的洗礼,正直青春年华的丽丽不愿被命运打倒,通过上网搜索查到全球肿瘤医生网可以全程协助质子治疗,对脑瘤效果特别好,副作用极小,是儿童肿瘤治疗的首选。于是,丽丽跟随父母来到了北京,经全球肿瘤医生网质子治疗专家会诊平台专家会诊后,丽丽的情况符合质子治疗的要求。
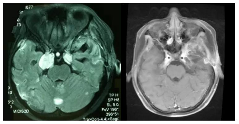
质子治疗前MR图像(左):可见颅内多个占位病变
质子治疗一个月后MRI复查图像(右):肿瘤明显缩小,头痛头晕、走路不稳症状明显改善
质子治疗剂量分布:全脑全脊髓照射
经过一个疗程质子治疗后,丽丽的症状明显改善,又重新回到了想念的校园,继续学习生涯。三个月后,丽丽在父母的陪同下进行了MRI复查,结果发现肿瘤已完全消失。接下来,丽丽定期进行检查就可以了。现在丽丽跟其他同学没有什么区别,体育课也照上不误,没有因为患病而有所禁忌。丽丽的理想是考进中国最高学府清华or北大,我们共同祝福丽丽早日梦想成真!
质子治疗适合哪些肿瘤
质子治疗的应用范围非常广,除了脑癌,质子治疗几乎涵盖身体所有实体瘤,如肺癌、前列腺癌、卵巢癌,等等。对于不能手术的患者,不耐受化疗和放疗的患者,没有其他治疗选择患者,质子治疗给很多实体瘤患者带来了希望,由于其他治疗的副作用,质子治疗将会备受关注,我们共同期待质子治疗在癌症领域大放异彩。
就医提醒
全球肿瘤医生网与全球知名的质子中心联手,打造国内权威的质子治疗评估会诊中心,可为患者联系全球范围内最适合的质子治疗,协助患者评估及就医。美国、德国、日本、中国台湾及大陆都有权威的质子治疗中心,可以根据自身需求自行选择!但是,无论去哪里进行质子治疗都需要提交病历资料进行评估,不方便进行面诊的患者可以进行远程专家会诊来评估是否符合治疗要求。
全球肿瘤医生网质子会诊中心,特聘国内外质子专家为患者提供远程会诊和评估,例如日本质子第一人秋原哲夫、美国质子专家X. Ronald Zhu、以及国内质子专家髙献书,患者可以通过全球肿瘤医生网咨询质子,并与专家进行交流。
如需要质子治疗评估及会诊,可致电全球肿瘤医生网(400-626-9916)医学部预约。
