童年歌手抗癌8年抱憾离世!这种沉默癌太会藏,但早筛+四大新疗法让它现形,转移灶全消
小编 2025-08-20
童年歌手肾癌8年抱憾离世!这种沉默癌太会藏,但肾癌早筛和四大新疗法让它现形,转移灶全消
据“搜狐娱乐”消息,2025年8月9日,《圣斗士星矢》主题曲《飞马座的幻想》创作及演唱者、知名歌手山田伸夫(艺名NoB)因肾癌离世,享年61岁,他的歌声曾承载一代人的童年回忆。
为他离世痛心惋惜之际,“肾癌”这一易被忽视的疾病也再引关注。它虽不及部分癌症知名,却在悄无声息地威胁患者健康。我们不禁追问:为何肾癌多发现即晚期?当前有哪些筛查手段?又有哪些抗癌新药与技术能为患者争取生机?
生命如歌!医生预判仅剩5年,凭热爱与意志书写8年抗癌奇迹
据悉,山田伸夫于8年前确诊肾癌,当时医生判定他仅剩5年生命。但他始终积极面对,坚持放疗与药物治疗,最终凭借对歌唱的热爱与坚强意志,与病魔抗争了整整8年,直至临终前一天,仍在讨论曲目安排与粉丝见面舞台。
小编也希望借此文让更多人认识并重视癌症的早期筛查、前沿治疗等,做到早发现、早治疗。而山田伸夫也以8年抗争的勇气与热爱坚守,将如他的歌声般永远传递力量,激励癌友们在困境中向阳而行、不向命运低头!
▲图源“sohu”,版权归原作者所有,如无意中侵犯了知识产权,请联系我们删除
警惕!为何多数肾癌一发现就是晚期?背后原因需重视
肾癌起源于肾脏,其中肾细胞癌(RCC)是最常见类型,约占肾癌总数的90%。临床中多数肾癌发现时已属晚期,其核心原因如下:
1、早期通常无症状:肾癌早期肿瘤体积小,对肾脏及周围组织影响微弱,通常不会出现明显症状。一旦出现腰痛(肿瘤压迫周围组织)、肉眼血尿(肿瘤侵犯肾盏或肾盂)、腹部包块等明显表现,肿瘤往往已增大、侵犯周围结构甚至发生转移,此时往往已进入中晚期阶段。
2、转移早且“沉默”:肾癌具有较早发生转移的特性,转移初期(如转移至肺、骨)多仅引发轻微、非特异性症状(如轻微咳嗽、乏力、骨痛),这些症状易被误认为普通疾病,进而延误诊断,导致发现时病情已达晚期。
3、缺乏普及的早期筛查机制:与肺癌、乳腺癌等有常规推荐筛查项目的癌症不同,肾癌尚无广泛普及的常规筛查方案,多数人不会主动进行肾脏相关检查(如肾脏超声、CT)。即便参与体检,项目也常以基础检查为主,若未针对性排查肾脏,早期微小肿瘤极易被遗漏。
肾癌的五年生存率
5年生存率是指从确诊癌症开始计算,经过5年后仍存活的患者比例。肾癌的5年生存率并非固定值,核心取决于癌症分期(包括肿瘤大小、是否侵犯周围组织及发生远处转移),同时也与病理类型、治疗手段、患者身体状况等因素相关,不同分期的生存率差异显著(详见下表)。
需注意的是,相关数据基于大量患者的统计结果,反映的是群体概率,个体生存率会因具体病情、治疗反应等存在差异。
如何及时发现肾癌?从早期筛查到术后复查,为生命筑起"防护墙",别让肾癌拖到晚期
近年来,随着靶向药物与免疫治疗的发展,晚期肾癌的5年生存率已较以往提升;但早发现、早治疗仍是提高肾癌整体生存率的关键。那么,如何实现肾癌的早期发现?结合其早期症状隐匿的特点,核心在于主动筛查与关注身体信号,可针对性采取以下措施:
这些症状不容忽视
肾癌早期多无症状,但若出现以下表现,需及时就医排查(高危人群尤其注意):
1、尿液异常:如无明显诱因出现肉眼血尿(尿液呈红色、茶色),或体检发现镜下血尿(显微镜下可见红细胞)。
2、腰部不适:持续性腰部隐痛、胀痛(非扭伤或劳累所致),或在腰部、腹部触摸到不明包块。
3、全身异常症状:如不明原因的体重快速下降、长期低热、乏力或贫血等。
高危人群需重点筛查
这是早期发现肾癌的关键手段,建议以下高危人群定期做肾脏相关检查:
1、有肾癌家族史者;
2、年龄>50岁者;
3、长期吸烟、肥胖或高血压控制不佳者;
4、曾患肾脏疾病(如多囊肾)或长期服用非甾体抗炎药者。
定期体检别漏肾脏检查
常规体检中,若包含“腹部超声”项目,需重视肾脏相关结果,避免仅关注肝、胆、胰而遗漏肾脏异常。高危人群更是建议定期(如1次/年)进行肾脏专项筛查,具体项目如下:
1、肾脏超声:具有无创、便捷且成本低等优点,能发现直径1厘米以上的肾脏肿瘤,是早期筛查的首选。
2、进一步影像学检查:若超声发现异常,可通过腹部CT或MRI明确肿瘤性质与范围,为后续诊断提供依据。
肾癌术后复查的重要手段
肾癌术后仍需警惕复发,以下检查有助于及时发现复发或转移征兆:
1、循环肿瘤DNA(ctDNA)检测:该技术能捕捉肿瘤早期甚至癌前阶段基因水平的异常变化,先于影像学发现癌变迹象,实现“早筛查、早发现、早诊断、早治疗”,适用于临床提示可能患癌但无法确诊的人群。
2、循环肿瘤细胞(CTC)检测:作为先进的液体活检技术,CTC检测通过分析血液中从原发肿瘤或转移灶脱落的恶性细胞,可精准评估肿瘤的存在状态、进展程度及治疗效果。
3、微小残留病灶(MRD)检测:可发现治疗后体内残留的微量癌细胞或肿瘤相关异常分子,为评估复发风险、制定后续治疗方案提供依据,有助于提升患者治愈率与生存质量。
4、免疫功能监测:每个人体内的免疫细胞水平与状态各不相同。免疫功能实时检测通过抽取血液,对淋巴细胞亚群进行分析,以此检测细胞免疫和体液免疫功能。能全方位反映机体当下的免疫功能、免疫储备及免疫反应情况,判断是否需要进行干预。
5、营养功能检测:正常的营养状态是机体维持免疫功能、抵抗癌症的基础。若存在营养不良,会导致患者对治疗的耐受性下降、手术切口愈合困难、感染风险增加,不仅直接降低生活质量、影响治疗效果,还可能大幅缩短生存期。因此,肿瘤患者需关注自身营养状况,必要时通过营养功能检测明确身体状态;一旦发现异常,应及时干预并接受针对性营养支持治疗,以保障免疫功能、助力癌症抵抗。
6、肠道菌群检测:研究人员发现,每个人体内的菌群在数量和种类上都存在显著差异。正常人体内的肠道菌群与癌症患者体内的肠道菌群更是截然不同。需要留意的是,癌症传统治疗手段(如放疗、化疗等),可能会对肠道菌群造成破坏。鉴于此,肿瘤患者在治疗期间及治疗结束后,都应当进行肠道菌群检测,查看是否存在肠道菌群失衡的情况,并及时予以纠正和调整,以增强免疫力、缓解治疗不良反应。
想了解更多肾癌相关检测信息的病友,可将治疗经历等资料提交至医学部;若已做相关检测,也可提交资料至医学部,进行详细解读。
2025肾癌值得期待的四大前沿疗法:从转移灶全消到生存超7年,突破生存期天花板
mRNA疫苗显著延长肾癌生存期,免疫应答者生存期超7年
《Oncoimmunology》最新研究表明,诱导针对多种肿瘤相关抗原(TAA)表位的T细胞应答,可延长肾细胞癌(RCC)患者总生存期。
该研究共纳入30例晚期肾细胞癌患者(包括A组14例、B组16例),平均年龄为63.5岁(36~79岁),入组后,患者均接受多TAA编码mRNA联合佐剂GM-CSF的疫苗治疗。
结果显示:所有患者中位总生存期(OS)达24.5个月,其中A组中位OS为15个月、B组中位OS为28.5个月,均超过纪念斯隆凯特琳癌症中心(MSKCC)风险评分预测的生存期。且疫苗诱导的免疫反应与临床获益显著相关——免疫应答者中位生存期达89个月(≈7.4年),无应答者仅14个月(p=0.002,详见下图)。
▲图源“OncoImmunology”,版权归原作者所有,如无意中侵犯了知识产权,请联系我们删除
异基因CAR-T首获持久CR:助晚期肾癌患者实现18个月持久无癌
在第37届癌症免疫治疗学会年会(SITC)上,一则突破性案例公布:一名透明细胞肾细胞癌(RCC)患者,经CTX130CAR-T细胞治疗后,奇迹般实现完全缓解(CR),这是异基因CAR-T细胞治疗首次达成如此持久的完全缓解,相关数据同步发表于《癌症免疫治疗杂志》。
该患者是一位64岁男性,确诊透明细胞肾细胞癌后,虽接受过阿替珠单抗与卡博替尼治疗,但病情仍复发且癌细胞转移至肺部、胸膜。因符合入组标准,他加入了CTX130治疗肾癌的1期临床试验(NCT04438083)。
治疗结果显示:该患者接受CTX130后,先达到部分缓解(PR);治疗第3个月,竟奇迹般实现了完全缓解(CR);更令人振奋的是,至治疗第18个月复查时,其完全缓解(CR)状态仍持续。
▼该患者在CTX130治疗前、治疗第42天、治疗第18个月时的影像学对比
▲图源“BMJ”,版权归原作者所有,如无意中侵犯了知识产权,请联系我们删除
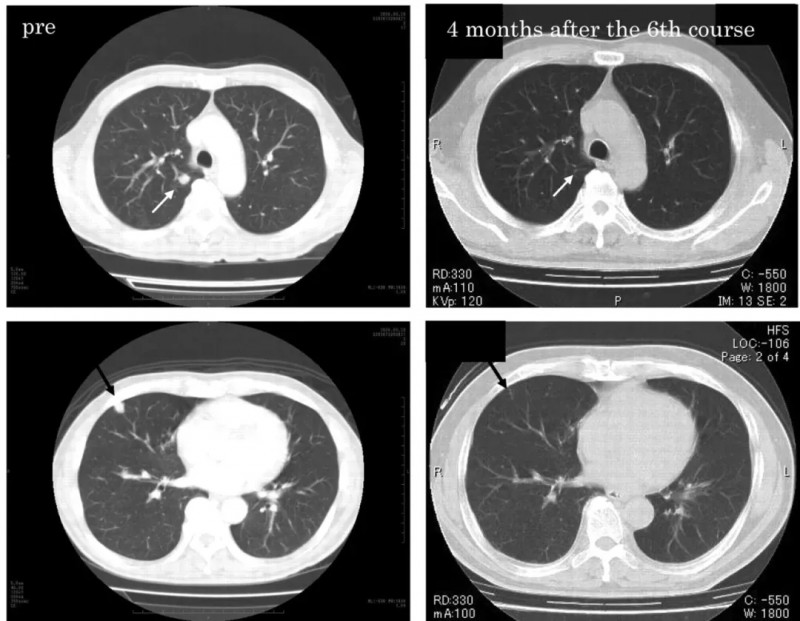
γδT细胞助肾癌患者肺部多个转移灶消失,2年无复发生存
《AnticancerResearch》曾报道一则经典案例:一名在根治术后出现肺部转移的肾细胞癌患者,在接受γδT细胞+IL-2+唑来膦酸联合治疗后,实现持续完全缓解。
该患者是一位61岁男性,确诊为右侧透明细胞型肾细胞癌(3级,pT1b分期),伴肺转移,先接受根治性肾切除术,术后给予干扰素α(IFN-α)治疗,但CT显示肿瘤负荷无明显变化。在IFN-α洗脱期一个月后,给予低剂量IL-2+唑来膦酸+自体体外活化的Vγ2Vδ2T细胞(γδT细胞的一种)联合治疗。
振奋的疗效随之显现:CT检查发现,治疗前的多发性肺转移灶,经3个疗程Vγ2Vδ2T细胞联合治疗后显著缓解,6个疗程后完全消失;患者在完成最后一个疗程后,已持续2年保持完全缓解(CR)状态(详见下图),且未接受任何针对肾细胞癌的额外治疗。
▼该患者治疗前、治疗第6个疗程后4个月的代表性CT图像
▲图源“anticancer research”,版权归原作者所有,如无意中侵犯了知识产权,请联系我们删除
益生菌联合免疫治疗,让肾癌缓解率提升近4倍
全球知名期刊《NatureMedicine》报道了一项1期临床研究(NCT05122546):应用CBM588(益生菌丁酸梭菌菌株)+纳武单抗+卡博替尼联合治疗晚期转移性肾细胞癌(mRCC)。
该研究共纳入30例局部晚期或转移性肾细胞癌患者,中位年龄为65岁(36-84岁),将其分为两组:即益生菌联合治疗组(CBM588+卡博替尼+纳武单抗)、对照组(仅接受卡博替尼+纳武单抗治疗)。结果显示,益生菌联合治疗组疗效显著优于对照组,具体表现如下:
1、客观缓解率(ORR):联合治疗组ORR较对照组提升近4倍,分别为74%vs20%(详见下图)。
▲图源“Nature Medicine”,版权归原作者所有,如无意中侵犯了知识产权,请联系我们删除
2、无进展生存率(PFS):治疗6个月时,联合治疗组PFS率为84%,而对照组仅为60%,显然益生菌联合治疗组的无进展生存率更高(详见下图)。
▲图源“Nature Medicine”,版权归原作者所有,如无意中侵犯了知识产权,请联系我们删除
小编寄语
虽为知名歌手抗癌8年不幸离世深感惋惜与痛心,但仍需提醒广大癌友:肾癌虽治疗难度较大,却并非“无药可医、无法可治”。建议患者珍惜每一次治疗机会,现阶段手术切除仍是肾癌首选治疗方式,有手术机会的患者应尽早遵医嘱手术;对于失去手术机会的晚期患者,可结合自身病情选择靶向治疗、化疗等综合治疗方案。
值得期待的是,随着新型抗肿瘤药物与抗癌技术的研发及应用,晚期肾癌治疗手段不断拓展,CAR-T疗法、癌症疫苗、NK细胞疗法、电场疗法等新型手段相继出现,为患者提供了更多选择与希望,助力延长生存期、提高生活质量。目前,肾癌的精准治疗模式也在逐步成熟。
如果您对目前的治疗方案存疑,或想寻求胃癌新型疗法的帮助,可将治疗经历、近期病理报告等,提交至医学部,详细评估病情或申请国内外抗癌专家会诊。
参考资料
[1]Rittig S M,et al.Long-term survival correlates with immunological responses in renal cell carcinoma patients treated with mRNA-based immunotherapy[J]. Oncoimmunology, 2016, 5(5): e1108511.
https://www.tandfonline.com/doi/full/10.1080/2162402X.2015.1108511#abstract
[2]Pal S,et al.558 CTX130 allogeneic CRISPR-Cas9–engineered chimeric antigen receptor (CAR) T cells in patients with advanced clear cell renal cell carcinoma: results from the phase 1 COBALT-RCC study[J]. 2022.
https://jitc.bmj.com/content/10/Suppl_2/A584
[3]Kobayashi H,et al. Complete remission of lung metastasis following adoptive immunotherapy using activated autologous γδ T-cells in a patient with renal cell carcinoma[J]. Anticancer research, 2010, 30(2): 575-579.
https://ar.iiarjournals.org/content/30/2/575.long
[4]Ebrahimi H,et al.Cabozantinib and nivolumab with or without live bacterial supplementation in metastatic renal cell carcinoma: a randomized phase 1 trial[J]. Nature Medicine, 2024: 1-10.
https://www.nature.com/articles/s41591-024-03086-4
[5]https://www.sohu.com/a/923705918_114941?scm=10001.327_13-327_13-61_61.0-0.0.0
