里程碑!全球首个全身疗法火速纳入NCCN指南,2年生存率超34%
小编 2025-09-11
里程碑!全球首个全身疗法火Dordaviprone(Modeyso)治疗脑胶质瘤速纳入NCCN指南,2年生存率超34%
据“OncLive”报道,2025年9月9日,美国国家综合癌症网络(NCCN)正式更新《肿瘤学临床实践指南》,将dordaviprone(商品名:Modeyso)列为2A类单药方案,用于治疗携带H3K27M突变的复发性或进展性弥漫性高级别胶质瘤儿童及成人患者。
据该药8月获批刚过去不足一月,之所以能快速纳入NCCN指南(同时覆盖儿童与成人中枢神经系统癌症指南),正凸显了这类具有毁灭性、高侵袭性的脑肿瘤患者长期亟待满足的治疗需求。这一指南更新不仅是脑肿瘤精准治疗领域的重要里程碑,更让曾面临“无药可选”困境的患者看到了切实的生存希望。随着首个标准治疗方案的落地,未来有望推动更多针对这类难治性脑肿瘤的研发突破,为全球患者带来更广阔的治疗可能!
▲截图源自“OncLive”
青少年脑肿瘤有救了!FDA批准首个针对难治性DMG的全身治疗方案
Dordaviprone是一种可穿透血脑屏障的小分子亚胺吡啶酮类蛋白酶激活剂,同时也是FDA批准的首个用于治疗H3K27M突变型弥漫性中线胶质瘤的全身疗法。早在2025年8月,该药已获美国FDA加速批准,用于治疗携带H3K27M突变、且经前期治疗后进展的成人及≥1岁儿童弥漫性胶质瘤患者。
要知道,弥漫性中线胶质瘤(DMG)是一种罕见且极具侵袭性的儿童高级别胶质瘤,主要影响儿童与青少年,其标志性分子特征为H3K27M突变,且该突变与极差的预后密切相关。这种疾病进展迅速,既往治疗仅局限于放射治疗,长期缺乏有效方案,更无FDA批准的全身疗法。而dordaviprone的加速获批,恰好填补了这一致命癌种的临床治疗空白。
Dordaviprone为复发性DMG患者带来希望,疾病控制率40%,2年总生存率超34%
Dordaviprone的加速审批基于一项综合疗效分析,该分析汇总了发表于《临床肿瘤学杂志》的5项开放标签非随机临床试验数据,共纳入50例复发性H3K27M突变型弥漫性中线胶质瘤(DMG)患者(儿童4例、成人46例),均通过口服ONC201单药治疗(来自4项临床试验或1项扩展获取方案)。其中,24.2%的患者原发性肿瘤位于丘脑,24.4%的患者靶病变少于2个。
结果显示:在本分析中,根据神经肿瘤学2.0版疗效评估标准,通过盲法独立中心审查(BICR)评估的总体缓解率(ORR)为22%(95%CI,12%-36%)。此外,在出现缓解的患者中,中位缓解持续时间为10.3个月(95%CI,7.3-15.2个月),其中73%的患者维持至少6个月的缓解,27%的患者维持至少12个月的缓解。
此外,汇总分析的额外疗效数据显示,皮质类固醇反应率为46.7%(n=7/15;95%CI,21.3%-73.4%),皮质类固醇反应的中位时间为3.7个月(范围,1.9-5.6)。
按RANO-HGG标准评估,客观缓解率(ORR)为20%(95%CI:10.0-33.7),包括1例完全缓解(CR)、9例部分缓解(PR)(详见下图);疾病控制率(DCR)为40%(95%CI:26.4-54.8),其中10例达到疾病稳定(SD)。中位缓解持续时间(DOR)为11.2个月(95%CI:3.8-未达到),中位缓解时间(TTR)为8.3个月(范围1.9-15.9)。
▲图源“J Clin Oncol”,版权归原作者所有,如无意中侵犯了知识产权,请联系我们删除
6个月无进展生存(PFS)率为35.1%(95%CI:21.2-49.3)(详见下图A)。中位OS为13.7个月(95%CI:8.0-20.3),12个月、24个月总生存率分别为57.3%(95%CI:41.4-70.3)、34.7%(95%CI:20.7-49.2)(详见下图B)。
▲图源“J Clin Oncol”,版权归原作者所有,如无意中侵犯了知识产权,请联系我们删除
精准+无创!四大前沿抗癌技术,有望助脑瘤患者"逆天改命"
01、CAR-T疗法:治疗2个月肿瘤显著缩小超60%
《新英格兰医学杂志(NEJM)》报道了一个“采用 CARv3-TEAM-E T 细胞[这是一种针对表皮生长因子受体(EGFR)变体Ⅲ特异性CAR-T细胞],治疗 EGFRvIII 阳性胶质母细胞瘤”的振奋案例。
该患者为一位72岁男性,确诊EGFRvIII阳性胶质母细胞瘤后,先后接受了开颅手术、肿瘤切除术、替莫唑胺化疗、标准放射治疗等传统治疗,但肿瘤仍继续进展。此后,他入组CARv3-TEAM-E T细胞治疗。
结果显示:治疗第2天复查MRI发现,肿瘤横截面积竟减少18.5%!在治疗第69天,肿瘤进一步缩小60.7%(详见下图)。更令人惊喜的是,在未使用抗血管生成药物及糖皮质激素的情况下,这种缓解状态持续超150 天(近6个月)。此外,脑脊液样本的细胞外囊泡RNA 液体活检结果显示,肿瘤标志物EGFRvIII 及 EGFR 均呈下降趋势。
▲图源“NEJM”,版权归原作者所有,如无意中侵犯了知识产权,请联系我们删除
02、硼中子俘获疗法:复发性头颈癌治疗有效率达80.5%,1年生存率超 75%
硼中子俘获疗法(BNCT)是一种将中子束与硼药物结合的肿瘤选择性粒子放射疗法,可实现细胞水平的精准靶向,现已成为治疗难治性肿瘤的高精度、高效疗法。其抗癌原理与传统放疗差异显著:传统放疗依赖X射线、碳离子等强电离辐射束直接杀伤肿瘤细胞;BNCT则利用超热中子源摧毁已吸收硼药物的肿瘤细胞——因所用光束强度低于传统放疗,能最大程度减少对健康组织的损伤。2020年,日本成为全球首个批准BNCT的国家,将其用于治疗局部晚期或复发后不可手术的头颈癌。
更令人振奋的是,《Cancer Medicine》杂志公布的两年真实治疗数据显示,BNCT治疗晚期或复发性头颈癌的有效率高达80.5%!该研究共纳入69例局部晚期或复发后不可手术的头颈癌患者(其中初治4例、复发5例)。
结果显示:入组患者客观缓解率(ORR)达80.5%,其中32例达到完全缓解(CR)、26例达到部分缓解(PR)、10例病情稳定(SD);1年无进展生存率(PFS)为42.2%(95%CI:30.1%–53.8%),1年总生存率(OS)为75.4%(95%CI:62.5%–84.5%)。
03、质子治疗:光速级精准爆破癌细胞,避免损伤健康组织、减少儿童生长发育/智力伤害
质子治疗虽属于放射治疗范畴,但其不同于传统X射线放疗,而是利用带正电的亚原子粒子——质子来杀灭癌细胞。
质子能破坏细胞DNA并阻止其繁殖,从而达到杀伤效果。它的速度可达光速的约三分之二,不仅能精准靶向癌组织,还能最大程度减少对附近健康组织和器官的辐射暴露,因此在治疗癌症时可显著降低放疗副作用,提升患者生活质量,尤其适合儿童和年轻人。
以儿童脑癌患者为例,标准X射线治疗的不良影响较明显:若辐射覆盖大脑部分区域,可能导致神经心理及智力缺陷,且副作用程度随照射脑组织体积和辐射剂量增加而加重;若辐射涉及下丘脑,还可能影响生长激素和甲状腺激素水平,进而阻碍患儿未来的生长发育。而质子治疗的优势正在于,在有效治疗脑癌的同时,能降低辐射对大脑健康区域的损害风险。
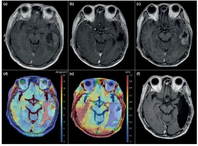
04、肿瘤电场疗法:可随身穿戴的抗癌黑科技,胶质母细胞瘤患者存活超3年远超预期
电场疗法(TTFields)是一种便携、无创的局部物理疗法,其治疗原理是通过在患者皮肤表面放置特制绝缘电极贴片,产生特定频率的低强度中频电场。该电场可穿透皮肤与身体组织,直接作用于肿瘤部位,干扰肿瘤细胞的有丝分裂,从而抑制肿瘤生长和扩散。
TTFields的临床应用已获多方认可:2015年首次获美国FDA批准用于新诊断的胶质母细胞瘤(GBM)治疗,此后又相继获批用于复发性胶质母细胞瘤(rGBM)、恶性胸膜间皮瘤,目前还可用于非小细胞肺癌、胰腺癌、胃癌、肝癌、卵巢癌等颅外肿瘤的治疗。下图展示了Optune® 电场疗法(TTFields)的组成及佩戴示例图。
《香港医学杂志》曾报道过一则典型案例:一名55岁男性胶质母细胞瘤患者,开颅全肿瘤切除术后,接受电场治疗(TTF)联合二线洛莫司汀化疗。
结果显示:治疗后,患者ECOG状态为1,生活质量良好,截至2022年已存活45个月(超3年),远高于传统治疗预估的15个月中位总生存期(下图展示了该患者电场疗法联合治疗前后的影像学对比图)。
▲图源“Hong Kong Med J”,版权归原作者所有,如无意中侵犯了知识产权,请联系我们删除
小编寄语
几年前,脑瘤术后和化疗后的临床标准做法就是被动的“观察和等待”,等着癌症复发,等着癌细胞在体内肆虐到兵强马壮的时候,我们再仓皇的应对,但通常为时已晚。而近年来,脑瘤的治疗已经取得了长足的进展,逆转了晚期患者的生存期、提高了生存质量、降低了因治疗产生的副作用(如对儿童智力/生长发育的伤害等)。
更加欣慰的是,除了上面提到的疗法外,还有更多抗癌新药/新技术(如癌症疫苗、NK细胞等)正在研发中。如果您对现有治疗方案不满意,或想了解脑瘤更多抗癌新药/新技术的更多讯息,可将治疗经历、近期病理检查报告、出院小结等,提交至医学部,进行初步评估。
参考资料
[1]Takeno S,et al.Preliminary outcomes of boron neutron capture therapy for head and neck cancers as a treatment covered by public health insurance system in Japan: Real‐world experiences over a 2‐year period[J]. Cancer Medicine, 2024, 13(11): e7250.
https://onlinelibrary.wiley.com/doi/full/10.1002/cam4.7250
[2]Arrillaga-Romany I,et al.ONC201 (Dordaviprone) in Recurrent H3 K27M-Mutant Diffuse Midline Glioma. J Clin Oncol. 2024 May 1;42(13):1542-1552.
https://ascopubs.org/doi/10.1200/JCO.23.01134
[3]Choi BD,et al.Intraventricular CARv3-TEAM-E T Cells in Recurrent Glioblastoma. N Engl J Med. 2024 Mar 13.
https://www.nejm.org/doi/10.1056/NEJMoa2314390?url_ver=Z39.88-2003&rfr_id=ori:rid:crossref.org&rfr_dat=cr_pub++0pubmed
[4]Peter YM Woo,et al.Long-term tumour-treating fields for glioblastoma and beyond disease progression: a case report[J].Hong Kong Med J,2022 Oct;28(5):396–9.
https://www.hkmj.org/abstracts/v28n5/396.htm
[5]https://www.onclive.com/view/nccn-adds-dordaviprone-to-clinical-practice-guidelines-in-h3k27m-mutant-diffuse-high-grade-glioma
