肝癌必看的"续命清单"!17款新药+四大疗法+康复指南,从生存超4年,到90%控病率
小编 2025-09-17
患者必看的“续命清单”,17款肝癌新药+四大新疗法+康复指南,从生存超4年,到90%控病率
肝癌是全世界癌症死亡的第三大原因,每年有约70万人被肝癌夺去生命!因其早期症状隐匿、进展迅速,常被称为“沉默的杀手”。我国是肝癌高发国家,每年新发病例占全球半数以上,且多数患者确诊时已处于中晚期,治疗难度较大。
随着医学技术的飞速发展,肝癌治疗已从传统放化疗进入精准靶向、免疫联合及无创物理治疗的新时代。本文将从全球已获批新药、前沿治疗技术、康复管理要点等三个关键维度,梳理肝癌治疗必须了解的关键信息,为肝癌患者及家属提供全面指导,大家可以先收藏以备不时之需!
全球已获批的肝癌新药:从单药到双免的治疗飞跃
近年来,肝癌系统治疗迎来爆发式进展,多款创新药物相继获批,显著延长了患者生存期。截至2025年7月2日,中国、美国共批准17款可用于肝癌治疗的靶向/免疫药物。除此之外,全球还有众多在研的新药,医学部为大家进行了系统整理,快看看又有哪些“续命”新药即将横空出世,给病友们带来长生存希望。
肝癌患者不可不知的全球前沿肝癌治疗技术,为生存争取一线生机
在局部治疗与物理治疗领域,多项突破性技术正改变肝癌治疗格局,包括但不限于以下几类:
01、C-CAR031 CAR-T疗法锁定肝癌"黄金靶标"!控病率超90%
GPC3是一种癌胚抗原,在70%~80%的肝细胞癌(HCC)中高表达,而在正常组织中基本不表达,被视为肝癌治疗的“黄金”靶标。
基于这一特性,研究人员开发了靶向GPC3的CAR-T细胞疗法C-CAR031,并在2024年美国临床肿瘤学会(ASCO)年会上,公布了其治疗晚期不可切除肝细胞癌的1期惊艳数据。
结果显示:全部入组患者的疾病控制率(DCR)高达90.9%,客观缓解率(ORR)达50.0%;在22例可评估疗效的患者中,90.9%出现肿瘤缩小,且肝内、肝外病变均有缩小,中位缩小率达44.0%(范围3.4%-94.4%)。经中位5.82个月随访,Kaplan-Meier估计的中位无进展生存期(PFS)为4.27个月(95%CI,2.86-8.90)。
下图中两位代表性患者的治疗效果尤为典型:
其中C010号患者(DL=3)实现了长达12个月及以上的持久缓解,肿瘤显著缩小。
▲图源“ASCO”,版权归原作者所有,如无意中侵犯了知识产权,请联系我们删除
另一例C023号患者(DL=4)在治疗1.5个月后,肺转移灶即出现深度反应,病灶明显缩小、数量减少。
▲图源“ASCO”,版权归原作者所有,如无意中侵犯了知识产权,请联系我们删除
02、国研LK101疫苗:肝癌1年复发率降至18.2%,12人存活超4年
2023年3月,我国自主研发的个性化肿瘤新抗原疫苗“LK101注射液”获国家药监局药品审评中心临床试验默示许可,用于晚期实体瘤治疗,堪称我国mRNA肿瘤疫苗领域的里程碑产品。
LK101是为患者量身定制的个性化新抗原靶向疫苗,它融合树突状细胞(DC)与mRNA的双重优势:依据患者的数十种特异性肿瘤突变信息,将编码个性化肿瘤抗原靶点的mRNA转导至DC细胞内,从而激活针对癌细胞的特异性免疫反应,实现对肿瘤细胞的攻击与清除,可作用于多款晚期实体瘤。
2024年美国临床肿瘤学会(ASCO)大会公布了该疫苗治疗肝细胞癌的首次人体临床研究(NCT03674073)亮眼数据。结果显示:LK101联合消融疗法安全性可控,且存在明确免疫激活证据,同时展现出延长生存期的潜力。其中复发率对比尤为显著:疫苗接种组1年复发率为18.2%、2年复发率为36.4%,对照组则分别为33.3%、51.4%。两组中位随访时间分别为48.4个月(疫苗接种组)和38.8个月(对照组),对照组已有3名患者死亡,而疫苗接种组12名患者均存活——这意味着所有接受疫苗治疗的患者生存期均已超过4年!
▲截图源自“ASCO”
想寻求LK101或其他癌症疫苗帮助的患者,可将治疗经历、近期病理检查及影像学检查结果等资料,提交至医学部,进行初步评估。
03、SCG101 TCR-T疗法:一箭双雕治疗HBV相关肝细胞癌,病毒清零+肿瘤消退
SCG101作为全球首个在乙型肝炎病毒(HBV)相关肝细胞癌(HCC)中,同时实现病毒清除与肿瘤消退的TCR-T细胞疗法,通过专有GianT™TCR筛选平台,精准识别由主要组织相容性复合体(MHC)呈递的乙肝表面抗原(HBsAg)特定表位,从源头阻断病毒复制与肿瘤进展。
2023年国际细胞与基因治疗大会(ISCT)上,公布了SCG101治疗HBV相关肝细胞癌的突破性案例!
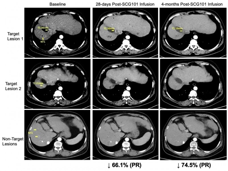
结果显示:该患者在SCG101治疗第28天,肿瘤靶病灶较基线缩小66%,率先达成部分缓解(PR)标准;并在治疗第4个月,肿瘤进一步缩小至74.5%,另有一处病灶更是完全消失(详见下图)。截至数据统计时,患者无进展生存期已超6.9个月,并持续维持缓解状态。
▲图源“SCG”,版权归原作者所有,如无意中侵犯了知识产权,请联系我们删除
此外,肝脏免疫组化分析显示,回输SCG101 TCR-T后,乙肝表面抗原阳性肝细胞实现100%清除。血清学指标更印证奇迹——HBsAg水平从输注前的557.96IU/mL,在第7天骤降至1.3IU/mL,第28天近乎清零(0.08IU/mL)(详见下图)。
▲图源“SCG”,版权归原作者所有,如无意中侵犯了知识产权,请联系我们删除
04、NK细胞+IRE强强联手!IV期肝癌DCR达90%,一例肿瘤病灶大面积坏死
已有研究证实,NK细胞疗法在肝癌等多种癌症中展现出令人鼓舞的抗肿瘤效果,且可与新型非热消融技术——不可逆电穿孔(IRE)联用。
一项针对IV期肝细胞癌(HCC)的临床研究纳入40例患者,分为IRE联合同种异体NK细胞治疗组(IRE-NK组)与单纯IRE治疗组。
结果显示:40例患者治疗前甲胎蛋白(AFP)均高于正常范围,治疗后均呈持续下降趋势。两组肿瘤体积均明显缩小,治疗3个月后,IRE-NK组最大肿瘤直径显著小于单纯IRE组(P<0.01)。此外,IRE-NK组疾病控制率(DCR)达90%,显著高于单纯IRE组的75%(P<0.01)。
值得一提的是,一位52岁IV期肝细胞癌女性患者(患者2)的治疗效果尤为突出:初始HCC结节最大直径3.0cm(详见下图A),经IRE联合同种异体NK细胞治疗后,MRI显示病灶内出现大面积坏死(详见下图C)。
▲图源“Cell Physiol Biochem”,版权归原作者所有,如无意中侵犯了知识产权,请联系我们删除
肝癌康复管理:从生存到生活的全程守护
肝癌治疗的成功不仅依赖先进技术,更需要科学的康复管理策略。
1、定期复查:肝功能保护是康复核心,患者需定期监测肝功能指标(Child-Pugh分级)及新型肿瘤标志物组合,包括甲胎蛋白(AFP)、异常凝血酶原(PIVKA-II)等。此外,患者还可通过MRD检测、肿瘤ctDNA检测等手段,早期发现复发迹象。
2、饮食调理:需坚持"高蛋白、低脂、高纤维"原则,优先选择易消化的优质蛋白(如鱼类、瘦肉、豆制品),每日蛋白摄入量建议维持在1.2-1.5g/kg体重。严格戒酒,避免霉变食物(黄曲霉毒素是明确致癌物)及肝毒性药物,尤其是成分不明的偏方。对于合并肝硬化的患者,需注意预防上消化道出血,避免食用坚硬粗糙食物,保持大便通畅。
3、心理干预与体能康复:研究表明,肝癌患者焦虑抑郁发生率高达40%-60%,可通过专业心理咨询、病友互助小组或冥想训练缓解压力。体能锻炼应循序渐进,早期以散步、太极等轻度运动为主,逐步增加活动量,避免过度劳累。合并腹水或黄疸的患者需在医生指导下调整活动强度。
4、病因控制:病因控制是预防复发的根本。乙肝相关肝癌患者需终身服用抗病毒药物(如恩替卡韦),定期监测乙肝病毒DNA载量;丙肝患者应完成根治性抗病毒治疗;非病毒性肝癌患者需控制体重、改善脂肪肝,降低肝癌复发风险。
小编寄语
尽管肝癌恶性程度高,但随着治疗技术的进步,早期肝癌可通过根治性治疗实现临床治愈,晚期肝癌也能通过靶向+免疫联合治疗延长生存期(部分患者生存期已超过5年)。对于肝癌患者及家属而言,明确全球已获批新药、选对前沿治疗方案、坚持随访/做好康复,是对抗疾病的“四大法宝”。此外,早筛查、早诊断、早治疗,仍是提升肝癌生存率的核心策略。
值得欣慰的是,过去十年间,肝癌治疗领域迎来突破性进展:除个性化新抗原疫苗外,钇90微球治疗、电场疗法、质子治疗等创新疗法相继在临床中展现显著成效,还有更多在研的靶向药物、免疫制剂及联合治疗方案正加速研发。这些进展为肝癌患者的预后改善注入强劲动力,也让"治愈希望"不再遥不可及。若您想了解癌症疫苗或更多肝癌前沿疗法,可将治疗经历、近期病理报告等,提交至医学部,进行初步评估。
参考资料
[1]Zhang Q,et al.Phase I study of C-CAR031, a GPC3-specific TGFβRIIDN armored autologous CAR-T, in patients with advanced hepatocellular carcinoma (HCC)[J]. 2024.
https://meetings.asco.org/abstracts-presentations/234377
[2]Alnaggar M,et al.Allogenic natural killer cell immunotherapy combined with irreversible electroporation for stage IV hepatocellular carcinoma: survival outcome[J]. Cellular Physiology and Biochemistry, 2018, 48(5): 1882-1893.
https://karger.com/cpb/article/48/5/1882/237/Allogenic-Natural-Killer-Cell-Immunotherapy
